Galeria

@endodent.sieradz
Aleksandra Bielewska-Waśków

@endodent.sieradz

PTE & ESE Member Endodoncja – Protetyka – Medycyna Estetyczna
  • Wesołych Świąt Wielkanocnych 🐰

Niech ten czas będzie momentem zatrzymania, regeneracji i równowagi.

Zdrowie, spokój i naturalny uśmiech — to wartości, które mają znaczenie nie tylko od święta.

Dziękujemy za zaufanie.
Zespół ENDODENT
  • 🦷 Higienizacja w gabinecie stomatologicznym — fundament zdrowia

Regularna higienizacja jamy ustnej to nie zabieg kosmetyczny, lecz procedura medyczna, która realnie wpływa na zdrowie całego organizmu.

Dlaczego to takie ważne?
Kamień nazębny jest rezerwuarem bakterii.
Bakterie z jamy ustnej mogą przedostawać się do krwiobiegu i krążyć po organizmie.
Nieleczony kamień prowadzi do zapalenia dziąseł i chorób przyzębia, a w konsekwencji do rozchwiania i utraty zębów.

Na czym polega higienizacja? 
✔️ skaling – usunięcie kamienia naddziąsłowego i poddziąsłowego
✔️ piaskowanie – usunięcie osadów i przebarwień
✔️ polerowanie – wygładzenie powierzchni zębów
✔️ (opcjonalnie) fluoryzacja

Czym jest piaskowanie zębów?
To zabieg polegający na oczyszczaniu zębów strumieniem wody, powietrza i drobnego proszku. Skutecznie usuwa osady po kawie, herbacie czy papierosach, docierając tam, gdzie nie sięga szczoteczka.

Zdrowie + estetyka
Po higienizacji zęby stają się gładsze i optycznie jaśniejsze, a oddech wyraźnie świeższy. 

Jak często?
➡️ minimum raz w roku
➡️ u wielu pacjentów — co 6 miesięcy, a czasem częściej (indywidualna ocena) 

Podczas wizyty higienistka
przeprowadza instruktaż higieny jamy ustnej,
dobiera indywidualne preparaty do codziennej pielęgnacji w domu (szczoteczki, pasty, nici, irygatory).
📌 Profilaktyka to najprostsza i najtańsza droga do zdrowych zębów i dziąseł.
Nie odkładaj higienizacji — to inwestycja w zdrowie, nie tylko w uśmiech.

Zapraszamy
🌍 endodent.pl
☎️ 881666523
📧 gabinet@endodent.pl
  • 💉 Nie wszystkie terapie przeciwzmarszczkowe są takie same 💉

W ofercie najnowszej generacji toksyna botulinowa - relabotulina, która podnosi poprzeczkę jeszcze wyżej.
Dlaczego pacjenci ją uwielbiają?
✔️ Dłużej utrzymujące się efekty – u 75% pacjentów rezultaty widoczne nawet do 6 miesięcy
✔️ Naturalny, gładki efekt bez „zamrożonej” mimiki
✔️ Szybsze działanie – efekty widoczne wcześniej, nawet juz na drugi dzień

Naszym stałym pacjentom bardzo polecamy wypróbowanie relabotuliny!

Zapraszam,
Endodent Stomatologia Mikroskopowa
☎️+48881666523
📧 gabinet@endodent.pl
endodent.pl
  • 🎁 Szukasz idealnego prezentu na święta, urodziny albo wyjątkową okazję?
Podaruj bliskiej osobie… piękny uśmiech i chwilę dla siebie! ✨

W naszym gabinecie stomatologicznym i medycyny estetycznej przygotowaliśmy vouchery upominkowe, które można wykorzystać na wybrane zabiegi, konsultacje lub metamorfozę uśmiechu.

To prezent, który zawsze jest trafiony — łączy troskę o zdrowie, komfort i naturalne piękno. 💎

🎄 Dlaczego warto?
✔️ Elegancki, uniwersalny i pełen wartości
✔️ Idealny dla niej i dla niego
✔️ Możliwość personalizacji zabiegów
✔️ Ważny przez cały rok

Zaskocz kogoś wyjątkowego upominkiem, który zostaje na długo.
Zapraszamy do zakupu voucherów w naszym gabinecie! 🤍
  • Wielu dentystów, widząc trzeci ząb trzonowy, od razu sugeruje usunięcie. Argumentują, że „ósemki psują zgryz” – a to często nieprawda. Problem tkwi w czymś innym: ósemki mają wyjątkowo skomplikowaną anatomię. Ich korzenie bywają zagięte, zakrzywione czy nieregularne, przez co wielu lekarzy nie chce podejmować ryzyka leczenia kanałowego.

A przecież te zęby potrafią odegrać ogromną rolę w planie leczenia protetycznego – zwłaszcza, gdy brakuje szóstek, czyli pierwszych zębów trzonowych.

👉 W naszym gabinecie nie poddajemy się tak łatwo. Zajmujemy się nawet najbardziej wymagającymi przypadkami – w tym trudnymi ósemkami. Dla nas każdy ząb ma znaczenie, dlatego walczymy do końca, aby go uratować.

✨ Bo żaden implant nie zastąpi własnego zęba – nawet martwego, ale prawidłowo wyleczonego kanałowo.

🌐  endodent.pl
📞  881666523
📧  gabinet@endodent.pl 

#leczeniekanałowe #endodoncja #ósemki #dentysta #stomatolog #ratowaniezębów #zdrowezęby #gabinetstomatologiczny #rootcanaltreatment #endodontics #wisdomteeth #dentistry #toothpreservation #smilecare #dentalclinic #sieradz @endodent #endodent
  • Laserowe wybielanie zębów – nowoczesna i bezpieczna droga do śnieżnobiałego uśmiechu! 👄

Marzysz o białym uśmiechu, ale boisz się bólu i nadwrażliwości po zabiegu? Mamy idealne rozwiązanie – laserowe wybielanie zębów! 🦷

 Dlaczego laser jest lepszy od tradycyjnej lampy?
➡️ Działa precyzyjnie i równomiernie
➡️ Skraca czas zabiegu
➡️ Mniejsze ryzyko podrażnień i nadwrażliwości
➡️ Efekty są widoczne szybciej i utrzymują się dłużej

📆 Zabieg składa się z dwóch wizyt – to gwarancja pełnego bezpieczeństwa i kontrolowanego efektu wybielenia.

🪥 Po wybielaniu kluczowa jest idealna higiena jamy ustnej – regularne szczotkowanie, nitkowanie i unikanie barwiących produktów pomogą utrzymać śnieżnobiały efekt na długo!

😬 A co jeśli masz zęby trudne do wybielenia?
Wtedy warto wspomóc się specjalnymi nakładkami do stosowania w domu, które podtrzymają efekt i pozwolą osiągnąć wymarzony kolor.

💬 Napisz do nas lub umów się na konsultację – doradzimy najlepszą metodę wybielania właśnie dla Ciebie!

📧 gabinet@endodent.pl 
📞 881666523

#WybielanieZębów #LaseroweWybielanie #PięknyUśmiech #ZdroweZęby #wybielanie #stomatologia #StomatologiaEstetyczna #BiałyUśmiech
  • Czysty uśmiech to zdrowy uśmiech!

Czy wiesz, że kamień nazębny powstaje nawet tam, gdzie go nie widać – w tzw. kieszonkach dziąsłowych? 😬 To trochę jakbyś co tydzień wrzucał do kieszeni swojego swetra małe kamyczki… Na początku ich prawie nie czujesz, ale z czasem kieszeń się rozciąga, ciężar rośnie, a materiał – czyli Twoje dziąsła – osłabia się i zaczyna rozciągać.

Dlaczego warto regularnie odwiedzać higienistkę?

1. Scaling (skaling) – profesjonalne usunięcie twardego kamienia nazębnego z powierzchni zębów i spod dziąseł.

2. Piaskowanie – delikatne „oczyszczenie strumieniem” piasku stomatologicznego, które usuwa osady i przebarwienia.

3. Profilaktyka – regularne zabiegi zapobiegają powstawaniu zapalenia dziąseł, próchnicy korzeni i niechcianych wizyt u stomatologa!

🔄 Powtarzaj co 6–12 miesięcy (lub częściej, jeśli zaleci to specjalista), żeby Twoje dziąsła były mocne, a uśmiech lśnił bez przebarwień.

📅 Zarezerwuj wizytę już dziś i daj swoim zębom to, czego potrzebują!
☎️ 881666523 
📧 gabinet@endodent.pl 

#higiena #skaling #piaskowanie #zdrowezęby #profilaktyka #uśmiech #dentysta #higienistka #stomatologia #zdrowiejamyustnej #sieradz @endodent
  • Nowy uśmiech. Dzięki odbudowie zębów koronami cyrkonowymi uzyskaliśmy efekt estetyczny, zadowalający i trwały – idealne rozwiązanie dla tych, którzy chcą odzyskać naturalny wygląd. Przed leczeniem zęby pacjentki były pokryte nieestetycznymi wypełnieniami kompozytowymi, które psuły całościowy efekt. Dzięki nowym, precyzyjnie wykonanym przez @pracowniaprotetyczaiwonaczyzak koronom, uśmiech odzyskał swój blask, a komfort życia znacznie wzrósł. 
Pamiętaj, że piękny uśmiech zaczyna się od profesjonalnego podejścia i dbałości o każdy detal.

📧 gabinet@endodent.pl 
☎️ +48881666523

Stomatologia KoronyCyrkonowe Estetyka Uśmiech MetamorfozaZębów PięknyUśmiech NowoczesnaStomatologia Sieradz Protetyka
  • Jako lekarz zajmujący się endodoncją, specjalizuję się w najtrudniejszych przypadkach, w tym między innymi w leczeniu resorpcji wewnętrznej korzenia. To skomplikowane przypadłości, które wymagają nie tylko specjalistycznej wiedzy, ale przede wszystkim precyzyjnego sprzętu – mikroskopu oraz zaawansowanych narzędzi, bez których prawidłowe leczenie byłoby niemożliwe. Dlatego stawiam na najwyższą jakość i nowoczesne technologie, gwarantujące skuteczne i bezpieczne podejście do nawet najbardziej wymagających przypadków.

endodoncja, resorpcjawewnętrzna, mikroskop nowoczesnaleczenie, sieradz

📧 gabinet@endodent.pl 
☎️ +48881666523
Wesołych Świąt Wielkanocnych 🐰

Niech ten czas będzie momentem zatrzymania, regeneracji i równowagi.

Zdrowie, spokój i naturalny uśmiech — to wartości, które mają znaczenie nie tylko od święta.

Dziękujemy za zaufanie.
Zespół ENDODENT
Wesołych Świąt Wielkanocnych 🐰 Niech ten czas będzie momentem zatrzymania, regeneracji i równowagi. Zdrowie, spokój i naturalny uśmiech — to wartości, które mają znaczenie nie tylko od święta. Dziękujemy za zaufanie. Zespół ENDODENT
2 tygodnie ago
View on Instagram |
1/9
🦷 Higienizacja w gabinecie stomatologicznym — fundament zdrowia

Regularna higienizacja jamy ustnej to nie zabieg kosmetyczny, lecz procedura medyczna, która realnie wpływa na zdrowie całego organizmu.

Dlaczego to takie ważne?
Kamień nazębny jest rezerwuarem bakterii.
Bakterie z jamy ustnej mogą przedostawać się do krwiobiegu i krążyć po organizmie.
Nieleczony kamień prowadzi do zapalenia dziąseł i chorób przyzębia, a w konsekwencji do rozchwiania i utraty zębów.

Na czym polega higienizacja? 
✔️ skaling – usunięcie kamienia naddziąsłowego i poddziąsłowego
✔️ piaskowanie – usunięcie osadów i przebarwień
✔️ polerowanie – wygładzenie powierzchni zębów
✔️ (opcjonalnie) fluoryzacja

Czym jest piaskowanie zębów?
To zabieg polegający na oczyszczaniu zębów strumieniem wody, powietrza i drobnego proszku. Skutecznie usuwa osady po kawie, herbacie czy papierosach, docierając tam, gdzie nie sięga szczoteczka.

Zdrowie + estetyka
Po higienizacji zęby stają się gładsze i optycznie jaśniejsze, a oddech wyraźnie świeższy. 

Jak często?
➡️ minimum raz w roku
➡️ u wielu pacjentów — co 6 miesięcy, a czasem częściej (indywidualna ocena) 

Podczas wizyty higienistka
przeprowadza instruktaż higieny jamy ustnej,
dobiera indywidualne preparaty do codziennej pielęgnacji w domu (szczoteczki, pasty, nici, irygatory).
📌 Profilaktyka to najprostsza i najtańsza droga do zdrowych zębów i dziąseł.
Nie odkładaj higienizacji — to inwestycja w zdrowie, nie tylko w uśmiech.

Zapraszamy
🌍 endodent.pl
☎️ 881666523
📧 gabinet@endodent.pl
🦷 Higienizacja w gabinecie stomatologicznym — fundament zdrowia Regularna higienizacja jamy ustnej to nie zabieg kosmetyczny, lecz procedura medyczna, która realnie wpływa na zdrowie całego organizmu. Dlaczego to takie ważne? Kamień nazębny jest rezerwuarem bakterii. Bakterie z jamy ustnej mogą przedostawać się do krwiobiegu i krążyć po organizmie. Nieleczony kamień prowadzi do zapalenia dziąseł i chorób przyzębia, a w konsekwencji do rozchwiania i utraty zębów. Na czym polega higienizacja? ✔️ skaling – usunięcie kamienia naddziąsłowego i poddziąsłowego ✔️ piaskowanie – usunięcie osadów i przebarwień ✔️ polerowanie – wygładzenie powierzchni zębów ✔️ (opcjonalnie) fluoryzacja Czym jest piaskowanie zębów? To zabieg polegający na oczyszczaniu zębów strumieniem wody, powietrza i drobnego proszku. Skutecznie usuwa osady po kawie, herbacie czy papierosach, docierając tam, gdzie nie sięga szczoteczka. Zdrowie + estetyka Po higienizacji zęby stają się gładsze i optycznie jaśniejsze, a oddech wyraźnie świeższy. Jak często? ➡️ minimum raz w roku ➡️ u wielu pacjentów — co 6 miesięcy, a czasem częściej (indywidualna ocena) Podczas wizyty higienistka przeprowadza instruktaż higieny jamy ustnej, dobiera indywidualne preparaty do codziennej pielęgnacji w domu (szczoteczki, pasty, nici, irygatory). 📌 Profilaktyka to najprostsza i najtańsza droga do zdrowych zębów i dziąseł. Nie odkładaj higienizacji — to inwestycja w zdrowie, nie tylko w uśmiech. Zapraszamy 🌍 endodent.pl ☎️ 881666523 📧 gabinet@endodent.pl
1 miesiąc ago
View on Instagram |
2/9
💉 Nie wszystkie terapie przeciwzmarszczkowe są takie same 💉

W ofercie najnowszej generacji toksyna botulinowa - relabotulina, która podnosi poprzeczkę jeszcze wyżej.
Dlaczego pacjenci ją uwielbiają?
✔️ Dłużej utrzymujące się efekty – u 75% pacjentów rezultaty widoczne nawet do 6 miesięcy
✔️ Naturalny, gładki efekt bez „zamrożonej” mimiki
✔️ Szybsze działanie – efekty widoczne wcześniej, nawet juz na drugi dzień

Naszym stałym pacjentom bardzo polecamy wypróbowanie relabotuliny!

Zapraszam,
Endodent Stomatologia Mikroskopowa
☎️+48881666523
📧 gabinet@endodent.pl
endodent.pl
💉 Nie wszystkie terapie przeciwzmarszczkowe są takie same 💉

W ofercie najnowszej generacji toksyna botulinowa - relabotulina, która podnosi poprzeczkę jeszcze wyżej.
Dlaczego pacjenci ją uwielbiają?
✔️ Dłużej utrzymujące się efekty – u 75% pacjentów rezultaty widoczne nawet do 6 miesięcy
✔️ Naturalny, gładki efekt bez „zamrożonej” mimiki
✔️ Szybsze działanie – efekty widoczne wcześniej, nawet juz na drugi dzień

Naszym stałym pacjentom bardzo polecamy wypróbowanie relabotuliny!

Zapraszam,
Endodent Stomatologia Mikroskopowa
☎️+48881666523
📧 gabinet@endodent.pl
endodent.pl
💉 Nie wszystkie terapie przeciwzmarszczkowe są takie same 💉

W ofercie najnowszej generacji toksyna botulinowa - relabotulina, która podnosi poprzeczkę jeszcze wyżej.
Dlaczego pacjenci ją uwielbiają?
✔️ Dłużej utrzymujące się efekty – u 75% pacjentów rezultaty widoczne nawet do 6 miesięcy
✔️ Naturalny, gładki efekt bez „zamrożonej” mimiki
✔️ Szybsze działanie – efekty widoczne wcześniej, nawet juz na drugi dzień

Naszym stałym pacjentom bardzo polecamy wypróbowanie relabotuliny!

Zapraszam,
Endodent Stomatologia Mikroskopowa
☎️+48881666523
📧 gabinet@endodent.pl
endodent.pl
💉 Nie wszystkie terapie przeciwzmarszczkowe są takie same 💉 W ofercie najnowszej generacji toksyna botulinowa – relabotulina, która podnosi poprzeczkę jeszcze wyżej. Dlaczego pacjenci ją uwielbiają? ✔️ Dłużej utrzymujące się efekty – u 75% pacjentów rezultaty widoczne nawet do 6 miesięcy ✔️ Naturalny, gładki efekt bez „zamrożonej” mimiki ✔️ Szybsze działanie – efekty widoczne wcześniej, nawet juz na drugi dzień Naszym stałym pacjentom bardzo polecamy wypróbowanie relabotuliny! Zapraszam, Endodent Stomatologia Mikroskopowa ☎️+48881666523 📧 gabinet@endodent.pl endodent.pl
3 miesiące ago
View on Instagram |
3/9
🎁 Szukasz idealnego prezentu na święta, urodziny albo wyjątkową okazję?
Podaruj bliskiej osobie… piękny uśmiech i chwilę dla siebie! ✨

W naszym gabinecie stomatologicznym i medycyny estetycznej przygotowaliśmy vouchery upominkowe, które można wykorzystać na wybrane zabiegi, konsultacje lub metamorfozę uśmiechu.

To prezent, który zawsze jest trafiony — łączy troskę o zdrowie, komfort i naturalne piękno. 💎

🎄 Dlaczego warto?
✔️ Elegancki, uniwersalny i pełen wartości
✔️ Idealny dla niej i dla niego
✔️ Możliwość personalizacji zabiegów
✔️ Ważny przez cały rok

Zaskocz kogoś wyjątkowego upominkiem, który zostaje na długo.
Zapraszamy do zakupu voucherów w naszym gabinecie! 🤍
🎁 Szukasz idealnego prezentu na święta, urodziny albo wyjątkową okazję? Podaruj bliskiej osobie… piękny uśmiech i chwilę dla siebie! ✨ W naszym gabinecie stomatologicznym i medycyny estetycznej przygotowaliśmy vouchery upominkowe, które można wykorzystać na wybrane zabiegi, konsultacje lub metamorfozę uśmiechu. To prezent, który zawsze jest trafiony — łączy troskę o zdrowie, komfort i naturalne piękno. 💎 🎄 Dlaczego warto? ✔️ Elegancki, uniwersalny i pełen wartości ✔️ Idealny dla niej i dla niego ✔️ Możliwość personalizacji zabiegów ✔️ Ważny przez cały rok Zaskocz kogoś wyjątkowego upominkiem, który zostaje na długo. Zapraszamy do zakupu voucherów w naszym gabinecie! 🤍
5 miesięcy ago
View on Instagram |
4/9
Wielu dentystów, widząc trzeci ząb trzonowy, od razu sugeruje usunięcie. Argumentują, że „ósemki psują zgryz” – a to często nieprawda. Problem tkwi w czymś innym: ósemki mają wyjątkowo skomplikowaną anatomię. Ich korzenie bywają zagięte, zakrzywione czy nieregularne, przez co wielu lekarzy nie chce podejmować ryzyka leczenia kanałowego.

A przecież te zęby potrafią odegrać ogromną rolę w planie leczenia protetycznego – zwłaszcza, gdy brakuje szóstek, czyli pierwszych zębów trzonowych.

👉 W naszym gabinecie nie poddajemy się tak łatwo. Zajmujemy się nawet najbardziej wymagającymi przypadkami – w tym trudnymi ósemkami. Dla nas każdy ząb ma znaczenie, dlatego walczymy do końca, aby go uratować.

✨ Bo żaden implant nie zastąpi własnego zęba – nawet martwego, ale prawidłowo wyleczonego kanałowo.

🌐  endodent.pl
📞  881666523
📧  gabinet@endodent.pl 

#leczeniekanałowe #endodoncja #ósemki #dentysta #stomatolog #ratowaniezębów #zdrowezęby #gabinetstomatologiczny #rootcanaltreatment #endodontics #wisdomteeth #dentistry #toothpreservation #smilecare #dentalclinic #sieradz @endodent #endodent
Wielu dentystów, widząc trzeci ząb trzonowy, od razu sugeruje usunięcie. Argumentują, że „ósemki psują zgryz” – a to często nieprawda. Problem tkwi w czymś innym: ósemki mają wyjątkowo skomplikowaną anatomię. Ich korzenie bywają zagięte, zakrzywione czy nieregularne, przez co wielu lekarzy nie chce podejmować ryzyka leczenia kanałowego. A przecież te zęby potrafią odegrać ogromną rolę w planie leczenia protetycznego – zwłaszcza, gdy brakuje szóstek, czyli pierwszych zębów trzonowych. 👉 W naszym gabinecie nie poddajemy się tak łatwo. Zajmujemy się nawet najbardziej wymagającymi przypadkami – w tym trudnymi ósemkami. Dla nas każdy ząb ma znaczenie, dlatego walczymy do końca, aby go uratować. ✨ Bo żaden implant nie zastąpi własnego zęba – nawet martwego, ale prawidłowo wyleczonego kanałowo. 🌐 endodent.pl 📞 881666523 📧 gabinet@endodent.pl #leczeniekanałowe #endodoncja #ósemki #dentysta #stomatolog #ratowaniezębów #zdrowezęby #gabinetstomatologiczny #rootcanaltreatment #endodontics #wisdomteeth #dentistry #toothpreservation #smilecare #dentalclinic #sieradz @endodent #endodent
7 miesięcy ago
View on Instagram |
5/9
Laserowe wybielanie zębów – nowoczesna i bezpieczna droga do śnieżnobiałego uśmiechu! 👄

Marzysz o białym uśmiechu, ale boisz się bólu i nadwrażliwości po zabiegu? Mamy idealne rozwiązanie – laserowe wybielanie zębów! 🦷

 Dlaczego laser jest lepszy od tradycyjnej lampy?
➡️ Działa precyzyjnie i równomiernie
➡️ Skraca czas zabiegu
➡️ Mniejsze ryzyko podrażnień i nadwrażliwości
➡️ Efekty są widoczne szybciej i utrzymują się dłużej

📆 Zabieg składa się z dwóch wizyt – to gwarancja pełnego bezpieczeństwa i kontrolowanego efektu wybielenia.

🪥 Po wybielaniu kluczowa jest idealna higiena jamy ustnej – regularne szczotkowanie, nitkowanie i unikanie barwiących produktów pomogą utrzymać śnieżnobiały efekt na długo!

😬 A co jeśli masz zęby trudne do wybielenia?
Wtedy warto wspomóc się specjalnymi nakładkami do stosowania w domu, które podtrzymają efekt i pozwolą osiągnąć wymarzony kolor.

💬 Napisz do nas lub umów się na konsultację – doradzimy najlepszą metodę wybielania właśnie dla Ciebie!

📧 gabinet@endodent.pl 
📞 881666523

#WybielanieZębów #LaseroweWybielanie #PięknyUśmiech #ZdroweZęby #wybielanie #stomatologia #StomatologiaEstetyczna #BiałyUśmiech
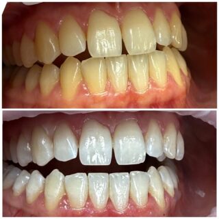
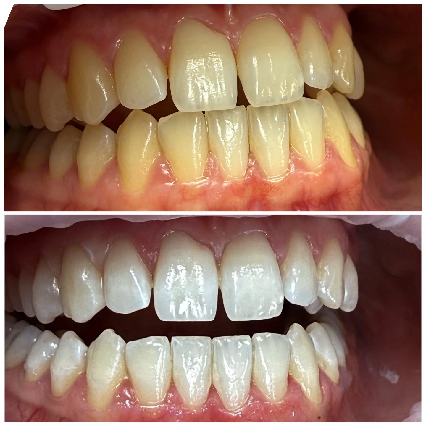
Laserowe wybielanie zębów – nowoczesna i bezpieczna droga do śnieżnobiałego uśmiechu! 👄 Marzysz o białym uśmiechu, ale boisz się bólu i nadwrażliwości po zabiegu? Mamy idealne rozwiązanie – laserowe wybielanie zębów! 🦷 Dlaczego laser jest lepszy od tradycyjnej lampy? ➡️ Działa precyzyjnie i równomiernie ➡️ Skraca czas zabiegu ➡️ Mniejsze ryzyko podrażnień i nadwrażliwości ➡️ Efekty są widoczne szybciej i utrzymują się dłużej 📆 Zabieg składa się z dwóch wizyt – to gwarancja pełnego bezpieczeństwa i kontrolowanego efektu wybielenia. 🪥 Po wybielaniu kluczowa jest idealna higiena jamy ustnej – regularne szczotkowanie, nitkowanie i unikanie barwiących produktów pomogą utrzymać śnieżnobiały efekt na długo! 😬 A co jeśli masz zęby trudne do wybielenia? Wtedy warto wspomóc się specjalnymi nakładkami do stosowania w domu, które podtrzymają efekt i pozwolą osiągnąć wymarzony kolor. 💬 Napisz do nas lub umów się na konsultację – doradzimy najlepszą metodę wybielania właśnie dla Ciebie! 📧 gabinet@endodent.pl 📞 881666523 #WybielanieZębów #LaseroweWybielanie #PięknyUśmiech #ZdroweZęby #wybielanie #stomatologia #StomatologiaEstetyczna #BiałyUśmiech
9 miesięcy ago
View on Instagram |
6/9
Czysty uśmiech to zdrowy uśmiech!

Czy wiesz, że kamień nazębny powstaje nawet tam, gdzie go nie widać – w tzw. kieszonkach dziąsłowych? 😬 To trochę jakbyś co tydzień wrzucał do kieszeni swojego swetra małe kamyczki… Na początku ich prawie nie czujesz, ale z czasem kieszeń się rozciąga, ciężar rośnie, a materiał – czyli Twoje dziąsła – osłabia się i zaczyna rozciągać.

Dlaczego warto regularnie odwiedzać higienistkę?

1. Scaling (skaling) – profesjonalne usunięcie twardego kamienia nazębnego z powierzchni zębów i spod dziąseł.

2. Piaskowanie – delikatne „oczyszczenie strumieniem” piasku stomatologicznego, które usuwa osady i przebarwienia.

3. Profilaktyka – regularne zabiegi zapobiegają powstawaniu zapalenia dziąseł, próchnicy korzeni i niechcianych wizyt u stomatologa!

🔄 Powtarzaj co 6–12 miesięcy (lub częściej, jeśli zaleci to specjalista), żeby Twoje dziąsła były mocne, a uśmiech lśnił bez przebarwień.

📅 Zarezerwuj wizytę już dziś i daj swoim zębom to, czego potrzebują!
☎️ 881666523 
📧 gabinet@endodent.pl 

#higiena #skaling #piaskowanie #zdrowezęby #profilaktyka #uśmiech #dentysta #higienistka #stomatologia #zdrowiejamyustnej #sieradz @endodent
Czysty uśmiech to zdrowy uśmiech! Czy wiesz, że kamień nazębny powstaje nawet tam, gdzie go nie widać – w tzw. kieszonkach dziąsłowych? 😬 To trochę jakbyś co tydzień wrzucał do kieszeni swojego swetra małe kamyczki… Na początku ich prawie nie czujesz, ale z czasem kieszeń się rozciąga, ciężar rośnie, a materiał – czyli Twoje dziąsła – osłabia się i zaczyna rozciągać. Dlaczego warto regularnie odwiedzać higienistkę? 1. Scaling (skaling) – profesjonalne usunięcie twardego kamienia nazębnego z powierzchni zębów i spod dziąseł. 2. Piaskowanie – delikatne „oczyszczenie strumieniem” piasku stomatologicznego, które usuwa osady i przebarwienia. 3. Profilaktyka – regularne zabiegi zapobiegają powstawaniu zapalenia dziąseł, próchnicy korzeni i niechcianych wizyt u stomatologa! 🔄 Powtarzaj co 6–12 miesięcy (lub częściej, jeśli zaleci to specjalista), żeby Twoje dziąsła były mocne, a uśmiech lśnił bez przebarwień. 📅 Zarezerwuj wizytę już dziś i daj swoim zębom to, czego potrzebują! ☎️ 881666523 📧 gabinet@endodent.pl #higiena #skaling #piaskowanie #zdrowezęby #profilaktyka #uśmiech #dentysta #higienistka #stomatologia #zdrowiejamyustnej #sieradz @endodent
11 miesięcy ago
View on Instagram |
7/9
Nowy uśmiech. Dzięki odbudowie zębów koronami cyrkonowymi uzyskaliśmy efekt estetyczny, zadowalający i trwały – idealne rozwiązanie dla tych, którzy chcą odzyskać naturalny wygląd. Przed leczeniem zęby pacjentki były pokryte nieestetycznymi wypełnieniami kompozytowymi, które psuły całościowy efekt. Dzięki nowym, precyzyjnie wykonanym przez @pracowniaprotetyczaiwonaczyzak koronom, uśmiech odzyskał swój blask, a komfort życia znacznie wzrósł. 
Pamiętaj, że piękny uśmiech zaczyna się od profesjonalnego podejścia i dbałości o każdy detal.

📧 gabinet@endodent.pl 
☎️ +48881666523

Stomatologia KoronyCyrkonowe Estetyka Uśmiech MetamorfozaZębów PięknyUśmiech NowoczesnaStomatologia Sieradz Protetyka
Nowy uśmiech. Dzięki odbudowie zębów koronami cyrkonowymi uzyskaliśmy efekt estetyczny, zadowalający i trwały – idealne rozwiązanie dla tych, którzy chcą odzyskać naturalny wygląd. Przed leczeniem zęby pacjentki były pokryte nieestetycznymi wypełnieniami kompozytowymi, które psuły całościowy efekt. Dzięki nowym, precyzyjnie wykonanym przez @pracowniaprotetyczaiwonaczyzak koronom, uśmiech odzyskał swój blask, a komfort życia znacznie wzrósł. Pamiętaj, że piękny uśmiech zaczyna się od profesjonalnego podejścia i dbałości o każdy detal. 📧 gabinet@endodent.pl ☎️ +48881666523 Stomatologia KoronyCyrkonowe Estetyka Uśmiech MetamorfozaZębów PięknyUśmiech NowoczesnaStomatologia Sieradz Protetyka
1 rok ago
View on Instagram |
8/9
Jako lekarz zajmujący się endodoncją, specjalizuję się w najtrudniejszych przypadkach, w tym między innymi w leczeniu resorpcji wewnętrznej korzenia. To skomplikowane przypadłości, które wymagają nie tylko specjalistycznej wiedzy, ale przede wszystkim precyzyjnego sprzętu – mikroskopu oraz zaawansowanych narzędzi, bez których prawidłowe leczenie byłoby niemożliwe. Dlatego stawiam na najwyższą jakość i nowoczesne technologie, gwarantujące skuteczne i bezpieczne podejście do nawet najbardziej wymagających przypadków.

endodoncja, resorpcjawewnętrzna, mikroskop nowoczesnaleczenie, sieradz

📧 gabinet@endodent.pl 
☎️ +48881666523
Jako lekarz zajmujący się endodoncją, specjalizuję się w najtrudniejszych przypadkach, w tym między innymi w leczeniu resorpcji wewnętrznej korzenia. To skomplikowane przypadłości, które wymagają nie tylko specjalistycznej wiedzy, ale przede wszystkim precyzyjnego sprzętu – mikroskopu oraz zaawansowanych narzędzi, bez których prawidłowe leczenie byłoby niemożliwe. Dlatego stawiam na najwyższą jakość i nowoczesne technologie, gwarantujące skuteczne i bezpieczne podejście do nawet najbardziej wymagających przypadków. endodoncja, resorpcjawewnętrzna, mikroskop nowoczesnaleczenie, sieradz 📧 gabinet@endodent.pl ☎️ +48881666523
1 rok ago
View on Instagram |
9/9